'정신분열증' 아만다 바인즈, 나체 상태로 배회하다 정신의학과行 [N해외연예] (서울=뉴스1) 정유진 기자 = 할리우드 유명 배우였던 아만다 바인즈(37)가 길거리에서 나체 상태로 배회하다 정신의학과로 호송됐다. 20일(현지시간)...
2023-03-21 16:57
정신의학과 교수가 말한 우울증에 약한 사람 특징 헐...나...잖...아... (서울=뉴스1) 권영미 기자 = 흔히 '마음의 감기'라고 부르는 우울증. 누구라도 걸릴 수 있으니 어렵게 생각하지 말고 치료받으라는 의미의 말이지만 ...
2021-08-29 07:00
조세호, 뜻밖의 고백 "처음엔 두려웠지만..." [파이낸셜뉴스] 코미디언 조세호가 정신의학과 진료를 받고 있다고 밝혔다. 조세호는 26일 방송한 tvN 예능프로그램 '유 퀴즈 온 더 블록'(이하 유퀴즈)에서 게스트로 출...
2025-11-27 10:46
'환자 사망' 양재웅 병원 관련자 재판행, 간호사는.. [파이낸셜뉴스] 정신건강의학과 전문의 겸 방송인 양재웅(43)씨가 운영하는 병원에서 환자가 손발이 묶인 채 숨진 사건과 관련해 주치의와 간호사가 재판에 넘겨졌다. 인천지검 ...
2025-11-13 06:24
김도연 "오진승, 거짓말이 취미…결혼생활 평탄치 않아" (서울=뉴스1) 이지현 기자 = 김도연이 결혼생활에 관해 평탄치 않다고 고백했다. 27일 오후 방송된 SBS 예능 프로그램 '동상이몽 2 - 너는 내 운명'에서는 정신의학과 ...
2025-10-27 23:46
오진승 "오은영 박사=고모, 오정세=사촌형"…거짓 들통 (서울=뉴스1) 이지현 기자 = 정신과 의사 오진승이 오은영 박사, 배우 오정세와 혈연관계라고 '거짓 주장'을 펼쳤다. 27일 오후 방송된 SBS 예능 프로그램 '동상이몽 2...
2025-10-27 22:57
퇴근 후 호스트바 선수로 일한 직장인 "마담이 찾으면..." [파이낸셜뉴스] 낮에는 회사를 다니고, 퇴근 후 호스트바에서 일하느라 무단 결근과 근태 불량을 일삼던 직원이 해고를 피하기 위해 '산재 요양'을 신청하는 꼼수...
2025-10-27 04:50
취업 거절 통보에 분노한 30대, 흉기 들고 배회하다 결국... [파이낸셜뉴스] 취업이 어렵다는 통보를 받자 앙심을 품고 흉기를 들고 밤거리를 배회한 30대 남성이 징역형의 집행유예를 선고받았다. 24일 법조...
2025-10-24 08:55
[단독] 유호정, 10년만에 안방 복귀한다…KBS 주말극으로 컴백 (서울=뉴스1) 장아름 기자 = 배우 유호정이 10년 만에 안방극장에 복귀한다. 16일 뉴스1 취재 결과, 유호정은 KBS 2TV 새 토일드라마 '사랑을 처방해드립...
2025-10-16 09:09
'사자머리' 안 한 오은영, 확 달라진 분위기 [N샷] (서울=뉴스1) 김민지 기자 = 정신건강의학과 전문의 오은영 박사가 일명 '사자머리'를 벗고 확 달라진 비주얼을 자랑했다. 23일 배우 채시라는 자신의 사회관계망서비스(SNS...
2025-09-25 15:40
20세 男, 스스로 ‘여자 되겠다’며 성기 절단 시도.. 충격 병원행 [파이낸셜뉴스] 인도에서 한 남성이 자신의 성전환 수술을 직접 시도하다 심각한 부상을 입는 사건이 발생했다. 19일(현지시각) 현지 매체 타임스오브인디아에 따...
2025-09-22 04:30
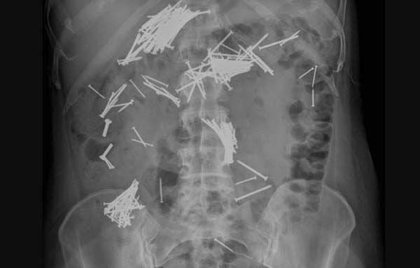
응급실 찾은 30대 여성, 몸 속서 뾰족한 '이것' 수십 개 발견 됐다는데 [파이낸셜뉴스] 정신질환을 앓고 있는 30대 여성이 수십개의 못을 삼킨 사례가 해외 저널에 보고됐다. 지난 11일 큐레우스 저널에 따르면 한달 전 브...
2025-08-14 05:58
이보영 "함께 얘기 나누고파"…'조력 사망' 화두 던지는 '메리킬즈피플'(종합) (서울=뉴스1) 장아름 기자 = 배우 이보영이 '메리 킬즈 피플'을 통해 '조력 사망'과 관련한 화두를 던진다. 31일 서울 마포구 상암동 MBC 신...
2025-07-31 12:11
EXID 하니, 요가 지도자 과정 수료 "마음의 변화 컸다" (서울=뉴스1) 안태현 기자 = 그룹 EXID 멤버이자 배우로 활동 중인 하니(안희연)가 요가 지도자과정을 수료한 근황을 전했다. 28일 하니는 자신의 인스타그램에 "요...
2025-07-28 13:49
EXID 하니 "망했다고 생각할까 봐"…'오은영스테이'서 전한 용기 (서울=뉴스1) 박하나 기자 = 그룹 EXID 하니가 '오은영 스테이'를 통해 용기 낼 각오를 전했다. 14일 오후 방송된 MBN 예능 프로그램 '오은영 스테이'...
2025-07-14 22:28
'같이 삽시다' 박원숙, 혜은이와 갈등에 오열 "그만둬야겠다" (서울=뉴스1) 김민지 기자 = '박원숙의 같이 삽시다' 박원숙과 혜은이가 갈등에 휩싸인다. 오는 14일 오후 방송되는 KBS 2TV '박원숙의 같이 삽시다'에서 박원...
2025-07-11 14:34
"왜 굳이 가시밭길을…" 하니, 양재웅과 결혼 생각 밝히며 눈물 글썽 [파이낸셜뉴스] EXID 멤버이자 배우로 활동 중인 하니(본명 안희연)가 연인 양재웅과의 결혼 생각을 밝히며 눈물을 글썽였다. 하니는 7일 방송된 ...
2025-07-08 08:47
EXID 하니 "눈치 그만 보고 싶어…내 삶 뜻대로 안 돼" [RE:TV] (서울=뉴스1) 박하나 기자 = EXID 하니가 '오은영 스테이'에서 자신의 이야기를 고백했다. 지난 7일 오후 방송된 MBN 예능 프로그램 '오은영 스테...
2025-07-08 04:50
'양재웅과 결혼 연기' 하니 "인생 내 뜻대로 안돼…이렇게 살아도 되나" (서울=뉴스1) 윤효정 기자 = 그룹 EXID 멤버이자 배우로 활동 중인 하니(안희연)가 그간의 심정을 털어놓는다. 7일 오후 9시 10분 방송되는 MBN ...
2025-07-07 09:00
오은영·유세윤, 지난해 여객기 참사 유가족 만났다 '울컥' (서울=뉴스1) 윤효정 기자 = 오은영 정신의학과의사와 방송인 유세윤이 지난해 무안공항에서 발생한 제주항공 여객기 참사 희생자의 유가족을 만났다. 오는 7일 방송되는 MB...
2025-07-04 14:09